Emphesema

Key Facts
  • Common medical problem, related to smoking
  • Centriacinar most common, other types: panlobular, paraseptal, irregular
  • Chest radiography insensitive for mild disease
  • Centriacinar predominately involves upper lung zones
  • Panlobular predominately involves lower lung zones
Imaging Findings

Chest radiography

  • Hyperinflation
    • flat diaphragms
    • widened retrosternal air space
    • lung height increased
    • small narrow heart
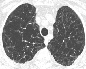
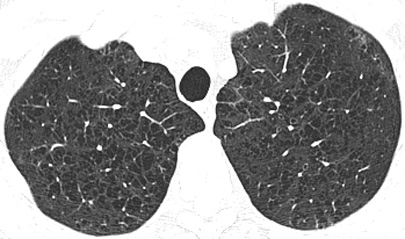
  • Parenchymal areas of hypoattenuation
    • inhomogeneous distribution
    • arterial deficiency, increased branching angle of remaining vessels
    • bullae
    • “increased marking” not clearly understood, combination of bronchial wall thickening or superimposition of emphysematous walls
  • Secondary manifestations
    • Pulmonary artery hypertension
      • enlarged central pulmonary arteries and peripheral arterial pruning
  • Sensitivity poor for early disease, rare false positives
    • problem is recognition of loss of normal lung
    • normal lung at chest radiography is 90% air, making detection of slight increases in air nearly impossible
  • Crude correlation between indices of airway obstruction and radiographic findings

CT/HRCT

  • More sensitive than chest radiography
  • Emphysematous holes usually have no discernable wall
  • Central artery may remain visible surrounded by destroyed lung
  • Objectively measured by assuming that lung with a threshold HU < -960 is emphysematous lung
Differential Diagnosis
  • Technical: false negatives with low dose technique or wide windows
  • Asthma
  • Contrictive Bronchiolitis Obliterans
  • Athletic hyperinflation
Pathological Features
  • Abnormal enlargement of the airspaces distal to the terminal bronchioles accompanied by destructive changes of the alveolar walls without obvious fibrosis
  • Emphysema usually inhomogeneous
  • centriacinar emphysema strongly associated with cigarette smoking
  • Centriacinar: dilatation 2nd order respiratory bronchioles in secondary lobule
  • Panlobular: involves entire lobule
Clinical Presentation
  • Dyspnea, shortness of breath
  • Obstructive pulmonary function tests
  • Treatment
    • smoking cessation
    • Bronchodilators
    • Pneumococcus vaccination
    • Lung volume reduction surgery (criteria, inhomogeneous distribution upper lung zones
    • Lung Transplant
References

Stern EJ et al: CT of the lung in patients with pulmonary emphysema: Diagnosis, quantification, and correlation with pathologic and physiologic findings. AJR 162: 791-8, 1994.