Pulmonary embolism

Key Facts
  • Common disease, any hospitalized patient at risk
  • Chest radiograph nonspecific, 10% normal
  • Pulmonary infarcts may be any shape or size
Imaging Findings

Chest radiograph

  • 10% normal
  • Most abnormalities nonspecific
  • Vascular enlargement central pulmonary artery (knuckle sign)
  • Focal oligemia (Westermark sign)
  • Pulmonary infarct
    • 10% embolic episodes result in infarction
    • Infarction more common in those with underlying cardiopulmonary disease
    • May develop immediately or delayed 2-3 days following embolus
    • Any size or shape but classically cone shaped in periphery of lower lobes
    • Often associated with small pleural effusion
    • Evolution: initially ill-defined, over time become sharply defined
    • 50% clear completely usually within 3 weeks
    • May leave linear scars (Fleischner lines)

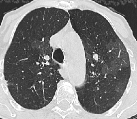
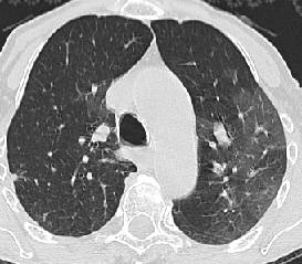
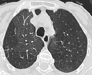
CT/HRCT

  • Directly visualize clot in central pulmonary artery
  • CT angiograms highly sensitive and specific
  • High observer agreement
  • Outcomes of negative CT angiograms excellent
  • Mosaic perfusion, usually less well defined than pattern with small airways disease
    • Due to vascular obstruction with areas of hypoperfusion and overperfusion
    • No air trapping with expiratory scanning
Differential Diagnosis
  • Mosaic pattern
    • Small airways disease
    • Viral or PCP pneumonia
    • Pulmonary alveolar proteinosis
Pathological Features
  • Pulmonary emboli end result of thrombosis in peripheral veins generally in the legs or pelvis
Clinical Presentation
  • No telltale signs, symptoms, or laboratory studies that strongly suggest PE
  • Treatment
    • Anticoagulation and fibrinolysis
    • IVC filters if contraindications to drug therapy
  • Prognosis
    • Good with appropriate therapy
    • Mortality of untreated disease 20%
References

Remy-Jardin M et al: Spiral CT angiography of the pulmonary circulation. Radiology 212: 615-36, 1999