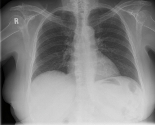
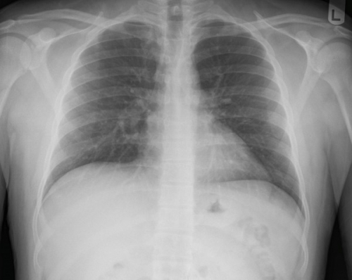
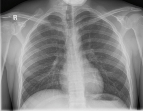
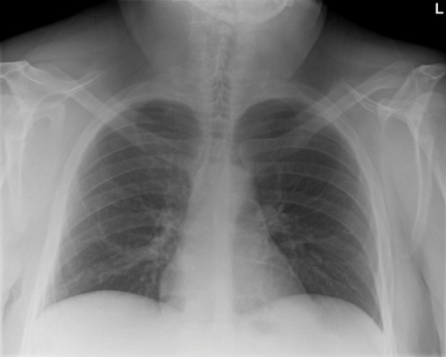
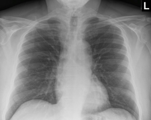
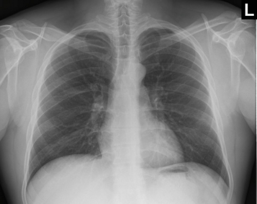
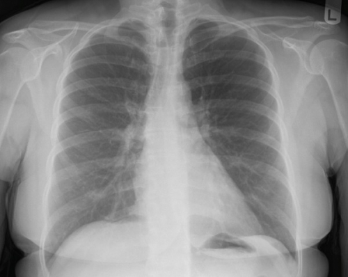
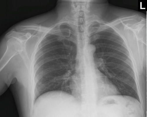
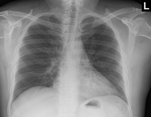
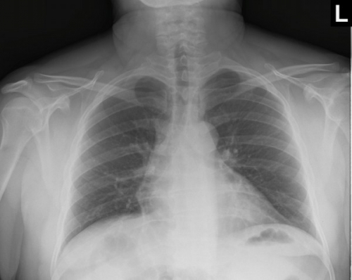
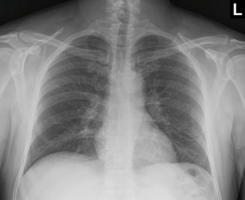
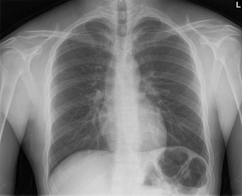
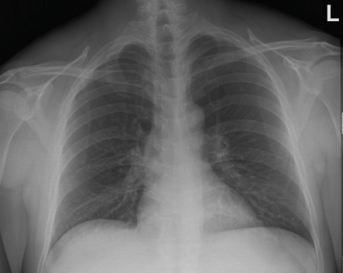
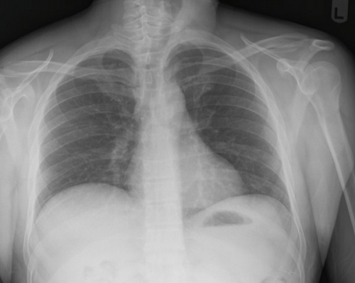
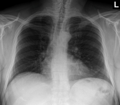
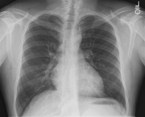
Tool to train medical student's eyes as to what a normal chest x-ray looks like, with over 500 consecutive normal images.